ФОТО. Хабіб показав зламаний палець перед боєм з Гейджі
Через цю травму Нурмагомедов був готовий знятися з поєдинку
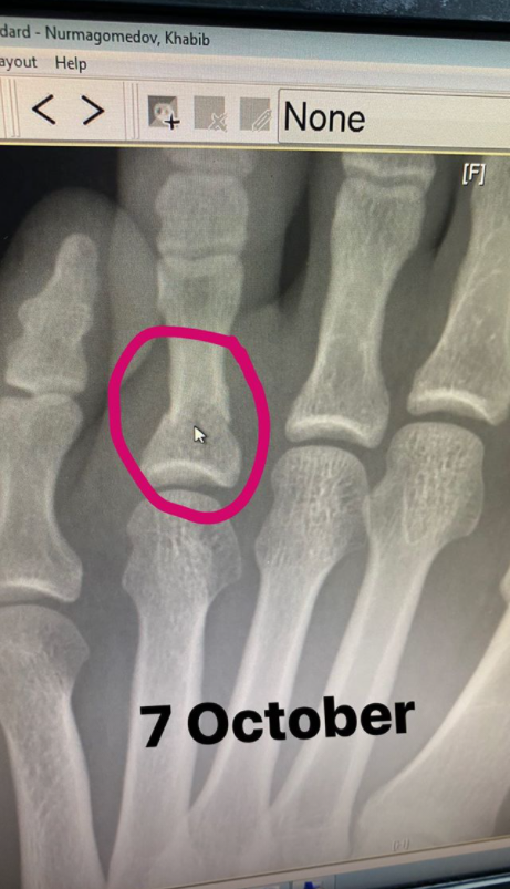
Чемпіон в легкій вазі Хабіб Нурмагомедов підтвердив, що за кілька тижнів до бою з Джастіном Гейджі поламав палець.
Дагестанець виклав в Instagram рентген-знімок свого пальця лівої ноги, на якому стоїть дата 7 жовтня.
Нагадаємо, що 24 жовтня Хабіб переміг Гейджі і оголосив про завершення кар'єри.

Повідомити про помилку
Якщо ви знайшли помилку, будь ласка, виділіть фрагмент тексту і натисніть
Налаштуйте свою особисту стрічку новин
ВАС ЗАЦІКАВИТЬ
Футбол
|
07 грудня 2025, 07:54
1
Михайло може опинитися в «Севільї»
Футбол
|
07 грудня 2025, 10:26
9
Матчі якого квартету хочеться дивитися, а якого – не дуже?
Футбол
|
06.12.2025, 19:57
Футбол
|
07.12.2025, 08:31
Коментарі 3
Популярні
Нові
Старі
А що він цим хоче сказати?
Показати
Приховати
2 відповіді
27.10.2020 16:22